Pečatenie zubov
Pečatenie zubov predstavuje účinnú ochranu rýh žuvacích plôch zadných zubov – stoličiek.
Mnohoročné výsledky pečatenia jednoznačne preukázali, že pečatenie rýh zadných zubov podstatným spôsobom znižuje tvorbu zubného kazu na týchto miestach.
Dôvody pečatenia zubov
Zadné zuby majú povrch prispôsobený na žuvanie a rozomieľanie potravy, a preto sa na ňom nachádzajú výstupky, medzi ktorými je na každom zube niekoľko rýh. Ryhy na zuboch sú obvykle úzke a hlboké, a preto ich nie je možné dokonale vyčistiť zubnou kefkou.
V ryhách sa prirodzene ukladajú zbytky potravy, čo má za následok vznik zubného kazu. Prevenciou pred vznikom kazov v ryhách zubov je ich vyplnenie pečatidlom, ktoré zabráni usadzovaniu v ryhách.
Proces pečatenia zubov
Príprava zuba na pečatenie.
Prvým krokom pri pečatení zuba je jeho dôkladné vyčistenie, ktoré realizujeme jemným opieskovaním povrchu zuba. Na vyčistený povrch zuba sa potom nanesie gél, ktorý zabezpečí lepšie priľnutie pečatidla ku sklovine zuba.
Aplikácia pečatidla.
Na pripravený povrch zuba sa nanesie pečatidlo. Pečatidlo má veľmi nízku viskozitu, je veľmi „riedke“, preto ľahko zatečie do rýh a jemných škár na povrchu pečateného zuba. Pečatidlo sa následne vytvrdzuje polymerizačnou LED lampou. Zub ošetrený pečatením má ryhy vyplnené pečatidlom, čím sa preventívne chránia hryzacie plochy pred zubným kazom.
Lokálna fluoridácia povrchu zuba.
Po pečatení je ešte vykonaná lokálna fluoridácia zuba, ktorá posilní sklovinu zuba, a urobí ju odolnejšou pred zubným kazom.

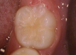
Zub číslo 6 pred pečatením.

Zapečatený zub číslo 6.
Kedy pečatiť zuby
Ideálne je pečatiť zuby deťom hneď po tom, čo dôjde k ich prerezaniu. Pečatiť je možné mliečne zuby, hlavne ak majú hlboké ryhy. Obmedzíme tým prvotné infikovanie detského chrupu zubným kazom a následné šírenie kazu na trvalé zuby.
Prioritne pečatíme trvalé zuby. Ide o šestky, ktoré sa u detí objavia približne vo veku šiestich rokov a o sedmičky, ktoré sa prerezávajú vo veku dvanástich rokov.
Pečatenie u detí má i ďalší pozitívny efekt: dieťa odchádza z ambulancie po neinvazívnom ošetrení v pohode a nefixujú sa u neho negatívne pocity súvisiace so stomatologickým ošetrením.
Pečatiť zuby je možné aj dospelým pacientom.
Starostlivosť o pečatené zuby
Starostlivosť o pečatené zuby je rovnaká ako o ostatné zuby. V praxi sa používajú biele pečatidlá, u ktorých je jednoduchá vizuálna kontrola stavu zapečatenia rýh.
Pečatenie vydrží 3 až 5 rokov, kým sa nezhryzie alebo nepoškodí iným spôsobom. Zhryzené alebo poškodené pečatenie je možné opraviť.