Endodoncia

Endodoncia je ošetrenie, pri ktorom sa odstráni zapálená a infikovaná zubná dreň, ktorú tvorili zubný nerv a krvné cievy, a koreňový kanálik a vyplní špeciálnou koreňovou výplňou.

Dôvodom endodontického ošetrenia zuba je infekcia a zápal zubnej drene.

Zápal zubnej drene

Zápal zubnej drene – pulpitída – môže byť spôsobený hlavne hlbokými kazmi, skrytými kazmi pod plombami alebo pod korunkami alebo úrazmi.

V prípade kazu sa bakteriálna infekcia šíri z korunkovej časti zuba až do koreňovej oblasti. Následne môže dôjsť vytvoreniu hnisavého lôžka – abscesu. Sprievodným znakom vzniknutého hnisavého lôžka môže byť opuch alebo vytekanie hnisu v okolí zuba. Prítomnosť hnisavého lôžka pod koreňom zuba môže mať negatívny vplyv aj na iné orgány v ľudskom tele.

Príznaky zápalu zubnej drene sú hlavne spontánna bolesť, bolesť na teplé a studené jedlá, vystreľujúca bolesť do ucha alebo do oka, a bolesť pri hryzení.

Zápal zubnej drene však môže prebiehať aj skryto bez akýchkoľvek príznakov, a môže byť náhodne diagnostikovaný pri preventívnej prehliadke na základe RTG snímku.

Ošetrenie koreňového kanálika

Cieľom liečby je odstránenie infekcie z koreňového kanálika. Ak má zub viac kanálikov, je nutné endodonticky ošetriť všetky kanáliky.

Počas prvej návštevy sa kanáliky mechanicky čistia, dôkladne dezinfikujú, rozšíria a zmeria sa ich dĺžka pomocou apexlokátora alebo pomocou RTG snímku. Ak je to potrebné, aplikuje sa do kanálikov liečivá pasta a zub sa uzavrie dočasnou výplňou. Zub sa nechá otvorený iba v prípade, ak má pacient silné bolesti s opuchom.

V ďalšej návšteve sa kanáliky zaplnia pomocou gutaperčových čapov a špeciálnej koreňovej pasty, ktorá v kanálikoch stuhne. Po zaplnení koreňových kanálikov sa urobí kontrolný RTG snímok, ktorý potvrdí, či sú koreňové kanáliky správne zaplnené.

Vo väčšine prípadov je potrebné počas nasledujúcej návštevy mŕtve zuby spevniť pomocou pulpálnych čapov zo sklenných vláken alebo z titánu, a zub sa dokončí plombou.

V prípade väčšej straty zubného tkaniva je potrebné zhotovenie zubnej korunky.

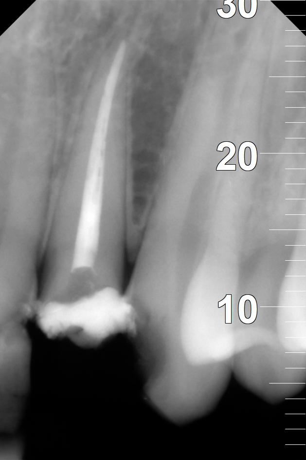
Na nasledujúcich RTG snímkoch sú dobre viditeľné biele výplne ošetrených koreňových kanálikov. Biela farba na snímkoch je spôsobená tým, že výplňový materiál je zámerne RTG kontrastný, aby bolo ľahko možné identifikovať výplne koreňových kanálikov.

Zaplnený koreň zuba číslo 22 pred rekonštrukciou korunky.

Zaplnené korene zuba číslo 36.

Úspešnosť endodontickej liečby

Úspešnosť ošetrenia koreňových kanálikov závisí predovšetkým od včasnej diagnostiky zápalu zubnej drene. Čím je menší rozsah infekcie v koreňovom kanáliku, tým lepšia prognóza liečby. Ďalším dôležitým faktrom je rešpektovanie pokynov lekára a dodržanie naplánovaných termínov ošetrenia.

Ak prenikne infekcia až do kosti, môže nastať situácia, že ani po odstránení infekčného tkaniva z koreňového kanálika nedôjde k zahojeniu zápalového ložiska v kosti, a zub musí byť extrahovaný.

Je však potrebné si uvedomiť, že úspešnosť takýchto prípadov je mimoriadne závislá aj od individuálnych biologických predpokladov konkrétneho pacienta a okolností, ktoré väčšinou pacient nevie ovplyvniť. Znížená imunita, prekonanie nejakého ochorenia, stres, alebo iné vplyvy môžu spôsobiť vzplanutie zápalu pod koreňom endodonticky správne ošetreného zuba, ktoré nakoniec môže viesť k jeho extrakcii.

Návrat hore